НАСТОЯЩИЙ МАТЕРИАЛ (ИНФОРМАЦИЯ) ПРОИЗВЕДЕН И РАСПРОСТРАНЕН ИНОСТРАННЫМ АГЕНТОМ «ГЛАСНАЯ» ЛИБО КАСАЕТСЯ ДЕЯТЕЛЬНОСТИ ИНОСТРАННОГО АГЕНТА «ГЛАСНАЯ». 18+
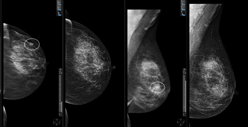
Новое исследование шведских ученых, опубликованное в British Medical Journal (BMJ), показало, что у женщин, пропускающих первую маммографию, риск смерти от рака молочных желез в течение последующих 25 лет повышается на 40%.
Во время проведения исследования эксперты из Каролинского института изучили судьбы около полумиллиона женщин, приглашенных на маммографию в период с 1991 по 2020 годы. Все участницы находились под наблюдением в течение 25 лет.
При этом около трети из них (32%) проигнорировали первый скрининг. Женщины из этой группы также впоследствии проходили обследования нерегулярно, из-за чего у них чаще диагностировали рак груди на поздних стадиях.
Уровень заболеваемости в обоих группах женщин (тех, что посетили первый скрининг и тех, которые пропускали обследования) был одинаковым, разница заключалась лишь во времени диагностики: женщины, проигнорировавшие первое приглашение, чаще узнавали о болезни на поздних стадиях.
За 25 лет наблюдения уровень смертности от рака молочной железы среди тех, кто не прошел первое обследование, составил 9,9 случая на тысячу женщин. У тех, кто обследовался вовремя, этот показатель был ниже — семь летальных исходов на тысячу.
Авторы исследования подчеркивают важность первой маммографии и регулярных обследований:
«Если результаты первого скрининга позволяют предсказать диагноз и риск смерти десятилетия спустя, это дает ценную возможность выделить группы риска задолго до развития тяжелых последствий», — отмечают исследователи.
